El mundo que conforma las cĆ©lulas en agrupaciones definidas se denomina Tejido. La especialidad dedicada al estudio de este mundo se llama HistologĆa.
Se debe saber que no solo el hecho de juntar un nĆŗmero indefinido de cĆ©lulas se hace llamar tejido, y que Ć©ste ya de por sĆ tendrĆ” las propiedades que se estudian. Todo siempre nace con una organización, que aun la naturaleza humana misma guarda celosamente, pero que al menos ya se tiene razón o rastro alguno de como nacen los tejidos: La EmbriologĆa es un Ć”rea poderosa del que debemos hablar primero para asĆ entender el inicio y diversificación de los tejidos.
EMBRIOLOGIA
Definición
Formación o desarrollo de los tejidos orgÔnicos a partir de las células indiferenciadas de las capas germinales del embrión.
PRIMERA SEMANA DE DESARROLLO EMBRIONARIO:
Origen de las Capas Germinales
Primero se sabe que el desarrollo humano comienza con la fecundación, que es la unión del espermatozoide y el óvulo, la cual finaliza cuando los pronúcleos de ambas células se han unido y los cromosomas maternos y paternos se han mezclado durante la metafase de la primera división mitótica del cigoto.
Entre 4 y 5 dĆas despuĆ©s de la fecundación se desprende la zona pelĆŗcida y el trofoblasto cercano al embrioblasto se fija al epitelio endometrial.
Al finalizar esta primera semana, el blastocisto estĆ” implantado de modo superficial en el endometrio.
SEGUNDA SEMANA DE DESARROLLO EMBRIONARIO:
La rĆ”pida proliferación y diferenciación del trofoblasto son caracterĆsticas destacadas de la segunda semana.
Dichos procesos tienen lugar a medida que el blastocisto completa su implantación en el endometrio.
Los diversos cambios endometriales procedentes de la adaptación de los tejidos para la implantación se conocen como reacción decidual. SimultÔneamente se forma el saco vitelino primario y se desarrolla el mesodermo extraembrionario.
TERCERA SEMANA DE DESARROLLO EMBRIONARIO.
El rÔpido desarrollo del embrión a partir del disco embrionario durante esta semana se caracteriza por:
Aparición de la lĆnea primitiva
Desarrollo de la notocorda
La última parte se refiere a gastrulación que viene a ser el proceso por el cual se establecen las tres capas germinativas y la orientación axial en el embrión.
Durante este proceso el disco embrionario bilaminar se convierte en un disco embrionario trilaminar. La gastrulación es el fenómeno que constituye el inicio de la morfogenia y es el mÔs importante que ocurre en la tercera semana.
Estas capas son:
Diferenciación de tres capas germinativas.
Ectodermo, la capa mÔs externa de células que rodea al embrión.
Mesodermo, células que forman la parte superior de la capa que creció hacia el interior en la blÔstula.
Endodermo, capa de cƩlulas mƔs interna.
Cada una de las tres capas germinativas da lugar a tejidos y órganos especĆficos.
La formación de la lĆnea primitiva, las capas germinativas y la notocorda son procesos importantes que suceden durante la gastrulación. Durante este perĆodo, el embrión se puede denominar gĆ”strula.
En el siguiente cuadro se verƔn de manera general los diferentes derivados de las tres capas germinales.
Esto se puede resumir en lo siguiente:
DERIVADOS DEL ECTODERMO
a.1 DERIVADOS DEL ECTODERMO SUPERFICIAL:
- Epidermis, cabello, uƱas, glĆ”ndulas cutĆ”neas y mamarias, hipófisis anterior, esmalte dental, oĆdo interno y cristalino.
a.2 DERIVADOS DEL NEUROECTODERMO:
-* DE LA CRESTA NEURAL:
- Ganglios y nervios craneales, mĆ©dula de la glĆ”ndula suprarrenal, melanocitos, cartĆlagos de arcos farĆngeos, mesĆ©nquima de la cabeza y tejido conjuntivo, rebordes bulbar y conal del corazón.
-* DEL TUBO NEURAL:
- Sistema Nervioso Central (SNC), retina, cuerpo pineal, hipófisis posterior.
DERIVADOS DEL MESODERMO:
b.1 DERIVADOS DEL MESODERMO PARAXIAL:
- Músculos de la cabeza, músculo esquelético estriado (tronco y extremidades), esqueleto, excepto: crÔneo, dermis de la piel y tejido conjuntivo.
b.2 DERIVADOS DEL MESODERMO INTERMEDIO:
- Aparato urogenital, conductos y glƔndulas accesorias.
b.3 DERIVADOS DEL MESODERMO LATERAL:
- Tejido conjuntivo y mĆŗsculo de vĆsceras, membranas serosas y de pleura, pericardio y peritoneo, corazón primitivo, cĆ©lulas sanguĆneas y linfĆ”ticas, bazo y corteza suprarrenal.
b.4 DERIVADOS DEL MESODERMO DE LA CABEZA:
- CrƔneo, tejido conjuntivo de la cabeza y dentina.
DERIVADOS DEL ENDODERMO:
Partes epiteliales de: trƔquea, bronquios y pulmones.
Epitelio de aparato digestivo, hĆgado, pĆ”ncreas, vejiga urinaria y uraco.
Partes epiteliales de: faringe, Tiroides, cavidad timpĆ”nica, tubo auditivo, amĆgdalas y paratiroides.
Los diferentes epitelios derivan de las hojas blastodƩrmicas.
Del ectodermo se origina el epitelio de la piel y córnea y se forman glĆ”ndulas de la piel, como las glĆ”ndulas mamarias, sudorĆparas y sebĆ”ceas.
Del endodermo se forma el epitelio del tubo digestivo, el epitelio del aparato respiratorio y las glĆ”ndulas digestivas: hĆgado y pĆ”ncreas.
Del mesodermo se origina el epitelio de los glomĆ©rulos y los tĆŗbulos renales. El epitelio del aparato reproductor. El endotelio de los vasos sanguĆneos, y el mesotelio: epitelio de las cavidades sin salida al exterior, como la pleura y el pericardio.
Tejido epitelial
El epitelio es un
tejido compuesto por células muy próximas entre si, sin sustancia intercelular
que las separe; es a-vascular, por consiguiente su nutrición se suple gracias a
los vasos capilares situados en los tejidos conectivos subyacente, del cual se
haya separado por una capa extra-celular de sostƩn llamada lƔmina basal.
Los epitelios
recubren todas las superficies libres del organismo, tanto internas como
externas. La superficie externa representa la epidermis, que se continua con la
capa epitelial que recubre todos los pasajes internos como el tubo digestivo, vĆas
aƩreas y uro-genitales.
El epitelio
recubre tambiƩn las grandes cavidades internas del organismo(pulmonar,
cardĆaca, abdominal) denominĆ”ndose mesotelio; ademĆ”s recubre la superficie
interna de los vasos sanguĆneos y linfĆ”ticos, donde se denomina endotelio.
Durante el
desarrollo embrionario los epitelios pueden producir prolongaciones en el tejido conectivo subyacente y formar glÔndulas, pudiéndose dividirse asà en epitelio de revestimiento y epitelio glandular
Las funciones de los epitelios ,que serÔn descritas en detalles mas adelante, son las de proteger contra el daño mecÔnico, la entrada de microorganismos y la perdida de agua por evaporación, suministrando ademas la base del tacto. En las superficies internas la función es mas de absorción o secreción.
Clasificación
Los epitelios se clasifican en distintos tipos teniendo como base el numero de capas celulares y la forma de las cƩlulas en la capa superficial.
Cuando exista una sola capa se denomina simple, y cuando estamos en presencia de dos o mas capas, estratificado. La clasificación se completa teniendo en cuenta la altura de la capa superficial de celulas, a partir de la cual el epitelio sera plano, cubico o cilĆndrico. Ademas existen dos tipos particulares de epitelios que son el pseudoestratificado y el de transición.
Epitelio Plano Simple
Compuesto por una sola capa de células planas, achatadas. Núcleo esférico u ovoide dispuesto en el centro de la celula.
Las membranas epiteliales delgadas permiten que los fluidos las atraviesen y puedan actuar como membranas de dialisis, dejando que tanto el agua como los iones difundan a traves de ellas, pero no las macromolescules(capsula de Bowman en el riƱon). En la parte respiratoria de los pulmones, donde se reliaza el intercambio oxigeno y dioxido de carbono entre la sangre de los capilares pulmonares y el aire de los alveolos, es esencial que el revestimiento epitelial alveolar sea suficientemente delgado para que los gases difundan. Otros ejemplos de este tipo de epitelio: mesotelio de las grandes cavidades, endotelios de los vasos, etc.
Compuesto por una sola capa de células planas, achatadas. Núcleo esférico u ovoide dispuesto en el centro de la celula.
Las membranas epiteliales delgadas permiten que los fluidos las atraviesen y puedan actuar como membranas de dialisis, dejando que tanto el agua como los iones difundan a traves de ellas, pero no las macromolescules(capsula de Bowman en el riƱon). En la parte respiratoria de los pulmones, donde se reliaza el intercambio oxigeno y dioxido de carbono entre la sangre de los capilares pulmonares y el aire de los alveolos, es esencial que el revestimiento epitelial alveolar sea suficientemente delgado para que los gases difundan. Otros ejemplos de este tipo de epitelio: mesotelio de las grandes cavidades, endotelios de los vasos, etc.
Figuras: (Arriba) Anillo endotelial de un vaso. Se observa celulas planas (Epitelio plano simple).
(Abajo) Epitelio simple Plano de la estructura del pulmon.
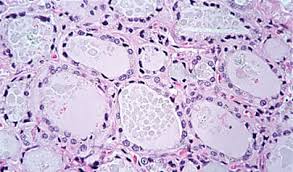
Epitelio Cubico Simple
Compuesto por una sola capa de celulas, en corte transversal aproximadamente cuadradas. Nucleos esfericos centrales.
Las funciones de intercambio a su nivel son menores. Reviste pequeƱos conductos excretores de muchas glandulas, tambien se encuentra en la superficie libre de los ovarios.




No hay comentarios:
Publicar un comentario
EnvĆanos tu opinión